这里是位于新西兰和澳洲之间的豪勋爵岛(Lord Howe Island)。

面积不到15平方公里,地形狭长,豪勋爵岛是海鸟们的乐园。
每年秋天,都有40,000只淡足鹱迁徙到这里越冬。

成鸟们在海里捕食,然后回到有丛林庇护的巢穴里喂养下一代。
一直以来,它们都是以这种方式繁衍生息。
但如今,海滩上渐渐出现了越来越多的淡足鹱尸体,有成鸟也有雏鸟。

它们整个族群,现在都面临着一项名为“塑料病(plasticosis)”的灭顶之灾。

01
深夜为海鸟催吐
场面触目惊心
刚过晚上8点,来到豪勋爵岛科学家和志愿者们趁着成鸟们不在,偷偷潜入到丛林里的鸟巢边。
他们的目标是淡足鹱的雏鸟。

趁着雏鸟离开地洞,科学家们很轻松地就把雏鸟抓住。
但随后他们要做的事,多少有点出人意料——给雏鸟洗胃。
先把一根软管塞进雏鸟嘴中,然后往里面灌水。

随后的一幕简直触目惊心,当雏鸟把水吐出来时,它胃里的一堆物体也被随之带出。

吐了几次,雏鸟终于把胃中物体全部吐出。
但呕吐物不是食物,而是大大小小、五颜六色、动物们根本无法消化的塑料片。


接下来的几个小时里,科学家和志愿者们继续给雏鸟催吐,给它们测量体重和大小,然后再把它放归。
最近十几年来,科学家们每年都会到豪勋爵岛研究淡足鹱,但他们发现,这里的淡足鹱族群状态开始走下坡路,不断出现垂死甚至死亡的个体。
通过解剖,科学家门发现,罪魁祸首就是这些小塑料片。
02
塑料引发的新疾病
淡足鹱是一种常居海上的鸟类,在海上捕食,在海上歇息,只有繁殖季才会到陆地上来。

平时觅食时,它们其实难以分辨哪些是小鱼,哪些是塑料,于是很容易就会把漂浮海上的塑料制品吃进去。
因为塑料碎片无法被消化,所以海鸟吃多了就容易被压得飞不起来。
而且虚假的饱腹感也会导致它们越来越虚弱,它们最终要么被海浪吞噬,要么活活饿死。
近50年来,当地淡足鹱的数量已经锐减了三成。

这些塑料中有瓶盖、有包装、但更多的是已经破损到辨认不出来源的碎片,而且被吃进去的塑料数量,近年来也出现了剧增。
今年初,有英国和澳大利亚的科学家在海鸟体内,发现了一种完全由摄入塑料而引发的新疾病——塑料病(plasticosis)。


科学家们从豪勋爵岛采集了30只最近死亡的淡足鹱,其中包括21只80~90天大的幼鸟。
这些个体都有一个特征:消化道里全都伤痕累累。
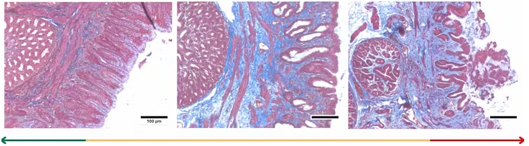
这项研究的负责人,海洋生态学家Jennifer Lavers发现,塑料碎片会对海鸟的胃等器官反复造成损伤,导致胃部在反复愈合时纤维化。
这就相当于长期吸烟的人会出现肺部纤维化、长期接触石棉的人容易得尘肺病、酗酒人士容易肝硬化等。
研究人员将这种症状称之为“塑料病”(plasticosis)。

纤维化程度:从左到右/从轻到重,蓝色为伤疤组织
塑料病不仅会导致鸟类消化腺体受损,疤痕还会使胃部变硬、弹性降低,降低消化食物的效率。
而且当成鸟给雏鸟喂食时,难以避免都会把一些塑料转移到雏鸟体内,极端情况下会导致雏鸟饿死。
03
新西兰无法幸免
塑料终将流向人类
这次关于塑料病的研究,主要集中在澳新之间的塔斯曼海峡一带。
但有迹象表明,就算是新西兰最偏远的海岛,可能也不能在塑料病的阴霾中幸存。

Stewart岛位于比新西兰南岛最南端城市Invercargill和Bluff还要南的地方,从地图上更能感受到它的偏远。

来自Nelson的Harry Pearson和Jan Jordan夫妇之前想去那看看Kiwi鸟,感受一下大自然。
然而到那之后,夫妻俩瞬间傻眼了——这里的塑料垃圾未免也太多了吧!

海岸上堆着被冲上海岸的绳索和浮标,很多都已经被太阳晒成白色。

柔软的沙子上散落着各种家居用品——簸箕、凉鞋、记号笔、牙刷、瓶子、半个塑料垃圾桶,而且还有不少撕开了的酱汁包装袋。
看到这景象,夫妻俩也没心情去找Kiwi鸟了,直接在沙滩上捡起了垃圾。

Jordan说:“这真的很令人沮丧,我不知道我们的海滩上有这么多垃圾。太伤心了。我不禁想起我们见过的所有野生动物。”

然而,他们能捡走的也只是一部分垃圾而已。
导致塑料病的塑料碎片,甚至更微型的塑料微粒,正逐渐融入到整个大自然之中。
例如当浮游生物摄入微塑料以后,这些难以降解的物质就会随着食物链,一级一级输送到更高级生物,甚至人的身体中。

去年6月份,意大利研究人员在Polymers杂志上发表研究报告指,他们在人类母乳中发现了微塑料颗粒。
研究指出,人类接触微塑料是“不可避免的”,因此“无法隔离”这些颗粒的来源。
虽然微塑料对人类有什么影响,研究人员们暂时未有定论,但坎特伯雷大学环境化学家Sally Gaw表示,塑料制品中广泛存在一种叫邻苯二甲酸盐的添加剂,这种化学物质可能会引发多种疾病。
其中包括例如哮喘、注意力缺陷多动障碍、乳腺癌、肥胖和糖尿病、低智商、神经发育问题、行为问题、自闭症谱系障碍以及生育和生殖问题。

同样来自坎特伯雷大学的Alex Aves在南极大陆的新雪中发现了塑料微粒。
她目前正在对偏远地区的样本进行分析,以便更好地了解空气中的微塑料:“在人体各处也都发现了微塑料,我们知道,它们的体积越小,造成的危害就越大。”
04
全球警钟已敲响
新西兰一直以来都走在消除塑料污染的前列。
继禁止使用塑料购物袋之后,新西兰将从今年7 月起逐步淘汰一些一次性塑料制品,其中包括农产品袋、大多数的吸管、盘子、碗和餐具。
到 2025 年,聚氯乙烯 (PVC) 和聚苯乙烯食品和饮料包装也将被列入淘汰行列。

然而,这并不能阻止全球的大趋势发展。
自1950年代以来,人类使用塑料的规模一直迅速扩大,而随之而来的便是塑料对海洋的污染。

一项2014年发表、针对地表海洋塑料垃圾数量的研究指出,估计当前至少有5.24万亿个重约244,000吨的塑料颗粒,正漂浮在世界各地的海洋里。
到了2018年,研究人员已经在超过114种水生物种体内发现了微塑料。
到2020年,科学家们估计沉到海底的塑料微粒数量已达1,400万吨。


这个数字在接下来只会不断增加,塑料也会在百年时间里,继续在自然环境、乃至生物体内不断积聚。
淡足鹱的塑料病或许只是一个开端,接下来我们需要面对的,很可能是更严峻的局面......